복부 CT로 알 수 있는 질병
복부 CT(Computed Tomography, 전산화단층촬영)는 현대 의학에서 복부 질환을 진단하는 데 가장 정확하고 신속한 검사법 중 하나입니다. CT는 인체를 여러 단면으로 나누어 X선으로 촬영한 뒤 컴퓨터로 재구성하여, 장기 내부 구조를 3차원적으로 확인할 수 있게 합니다. 복부 내부는 간, 담낭, 췌장, 비장, 위, 대장, 소장, 신장, 방광, 자궁, 전립선 등 복잡한 장기들이 밀집해 있어 단순 촬영이나 초음파로는 놓치기 쉬운 병변이 많습니다. 따라서 원인 불명의 복통, 체중 감소, 복부 팽만, 혈액검사 이상 소견, 간 수치 상승, 혈뇨나 요로통증 등 증상이 있을 때 복부 CT 검사를 시행하면 병의 위치와 성격을 빠르게 파악할 수 있습니다.


복부 CT는 응급실에서 복통 환자의 진단뿐 아니라, 암의 발견과 병기 결정, 수술 전후 평가, 감염성 질환의 추적 검사에도 필수적으로 사용됩니다. 조영제를 사용하면 장기와 혈관의 구분이 뚜렷해져 병변의 경계, 혈류, 전이 여부까지 확인할 수 있습니다.
복부 CT의 원리와 검사 과정
복부 CT는 X선을 이용해 인체를 통과시킨 뒤 신체 내부의 밀도 차이를 영상화합니다. 촬영 시에는 환자가 검사대 위에 누워 일정 시간 동안 움직이지 않아야 하며, 호흡을 멈춘 상태에서 연속 촬영을 진행합니다. 조영제 주입 전·후를 나누어 두 단계로 검사하는 경우가 많습니다.


조영제는 혈관 내로 주사하거나 입으로 마시게 되며, 간과 담도, 췌관, 혈관 등 장기의 구획을 뚜렷하게 만들어줍니다. 조영제는 요오드 성분으로 구성되어 있으며, 신장 기능이 약한 사람이나 알레르기 병력이 있는 경우 사전에 주의가 필요합니다. 검사 시간은 약 5분 내외로 매우 짧으며, 촬영 후에는 수분을 충분히 섭취해 조영제를 배출하는 것이 좋습니다.
주요 복부 CT로 알 수 있는 질병
특히 초음파나 단순 엑스레이로 발견하기 어려운 병변까지 세밀하게 확인할 수 있어 진단의 정확도를 크게 높여줍니다. 그렇다면 복부ct로 알 수 있는 질병에는 어떤 것들이 있을까요? 장기별로 자세히 정리해 보겠습니다.


복부 통증이나 소화 장애, 체중 변화, 혈액검사 이상 등 다양한 증상의 원인을 파악하는 데 있어 가장 신뢰받는 검사 중 하나가 바로 복부 CT입니다. 눈에 보이지 않는 복부 장기 속 문제를 단 몇 분 만에 영상으로 확인할 수 있어 응급 상황은 물론 종양, 염증성 질환, 혈관 질환 평가에도 폭넓게 사용됩니다.
1. 위장관 질환
복부 CT는 위, 대장, 소장 등 장기계 질환의 진단에서 매우 높은 정확도를 보입니다.
- 충수염(맹장염): 우하복부 통증이 지속될 때 복부 CT로 충수의 직경, 벽 비후, 주변 지방조직 염증반응, 농양 형성 등을 확인합니다. 급성 충수염의 진단 정확도는 95% 이상으로 알려져 있습니다.
- 게실염: 대장 벽에 생긴 주머니 모양의 게실에 염증이 생기면 좌하복부 통증과 발열이 발생합니다. CT에서는 게실 주위 지방조직의 탁도 증가, 벽 비후, 농양이나 천공 여부를 평가할 수 있습니다.
- 장폐색: 장의 일부가 막혀 음식물과 가스가 통과하지 못하는 상태로, 복부 팽만과 구토가 동반됩니다. CT로 장 팽창 부위, 막힌 지점, 원인(유착, 종양, 탈장 등)을 정확히 파악할 수 있습니다.
- 장 천공: 위나 장에 구멍이 생겨 공기가 복강 내로 새는 상태입니다. CT에서는 자유공기(free air) 소견과 함께 복막염 소견을 확인할 수 있습니다.
- 위암·대장암 등 종양성 병변: 조영제를 사용한 CT로 종양의 크기, 침윤 범위, 림프절 전이 여부, 간이나 복막 전이 등을 평가해 병기를 결정할 수 있습니다.

2. 간과 담도계 질환
간과 담낭은 복부 CT에서 가장 자주 평가되는 장기입니다.
- 간암, 간 전이암: 조영 CT를 통해 간 내부에 조영증강되는 종괴, 혈류 패턴, 경계부 비정상 혈관 형성을 관찰하여 종양을 진단합니다. 특히 간세포암은 동맥기에서 강하게 조영되고, 문맥기에서 빠르게 사라지는 ‘washout’ 패턴이 전형적입니다.
- 간경변증: 간 표면의 울퉁불퉁한 변형, 비장 비대, 복수, 문맥압 상승 등이 CT에서 확인됩니다.
- 지방간: 지방이 침착된 간은 정상보다 음영이 낮게 나타납니다.
- 간 농양: 세균 감염으로 인한 고름이 차 있는 공간을 동반한 음영 저하 병변이 보입니다.
- 담석증 및 담낭염: 담낭 벽 비후, 담즙 고임, 담석 그림자, 주위 지방조직 염증 등으로 진단됩니다.
- 담도 폐쇄: 담관이 막히면 간내 담관이 확장되어 보이며, 담도암·췌장암 등의 원인 병변을 함께 파악할 수 있습니다.


3. 췌장·비장 질환
췌장과 비장은 복부 CT에서 조영제를 이용해 세밀히 평가됩니다.
- 급성 췌장염: 췌장 비후, 주변 지방 침윤, 복강 내 액체 저류 등이 전형적인 CT 소견입니다. 중증일 경우 괴사성 변화와 농양 형성이 관찰됩니다.
- 만성 췌장염: 석회화, 췌관 확장, 위축된 췌장 등이 나타납니다.
- 췌장암: 주로 췌장두부에 발생하며, 담도 폐쇄로 인한 황달을 유발합니다. 조영 CT로 종양 크기, 혈관 침범, 간·림프절 전이를 평가할 수 있습니다.
- 비장 비대 및 비장 파열: 간경변, 혈액질환, 외상으로 인한 비장 종대가 확인됩니다. 교통사고 등 외상 환자에서 비장 파열로 인한 복강 내 출혈을 CT로 신속히 진단할 수 있습니다.

4. 신장 및 비뇨기계 질환
- 신장 결석: 비조영 CT(non-contrast CT)는 신장결석 진단의 표준검사로, 결석의 크기·위치·밀도를 정확히 파악할 수 있습니다.
- 수신증: 요로가 막혀 신장 내 소변이 차오르는 상태로, 신우 확장 소견이 뚜렷하게 보입니다.
- 신장암: 조영 CT를 통해 종양의 조영 패턴, 신정맥 침범, 주위 지방조직 침윤 여부를 평가합니다.
- 신우신염: 신장 실질의 염증과 부종, 비대칭 조영 양상, 지방조직 반응이 특징입니다.
- 다낭성 신질환: 양쪽 신장에 다수의 낭종이 분포한 모습이 CT에서 관찰됩니다.
- 방광암 및 전립선비대증: 골반 CT에서 방광 벽 비후, 종괴, 전립선 비대 등을 확인할 수 있습니다.



5. 복강 및 혈관계 질환
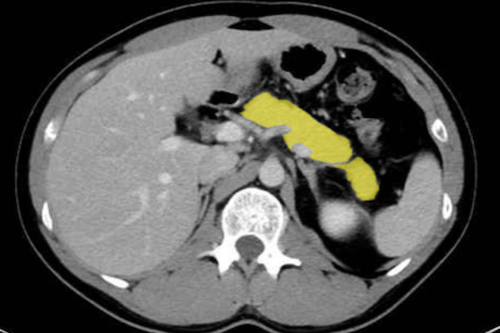
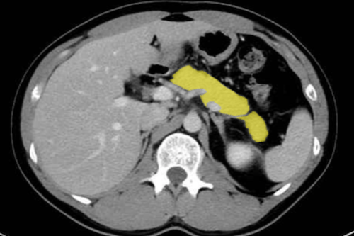
- 복부 대동맥류(AAA): 대동맥의 일부가 풍선처럼 부풀어 오르는 질환으로, CT는 직경 확대와 벽 석회화, 혈전 형성을 명확히 보여줍니다. 파열 위험성 평가에도 활용됩니다.
- 복강 내 출혈: 외상, 파열, 종양, 항응고제 복용 등으로 인한 내출혈은 CT에서 조영제 누출 형태로 나타나며 응급 진단이 가능합니다.
- 복막염 및 복막 전이암: 복막 비후, 복강 내 액체, 복막 표면 결절 형태로 관찰됩니다. 복수와 함께 전이암 진단에 중요한 단서가 됩니다.
- 림프절 비대: 암 전이, 결핵, 림프종 등에 의해 커진 복강 내 림프절이 CT로 선명히 보입니다.
- 복강 내 농양 및 액체 고임: 염증 후 고름이 고인 부위나 복막 내 농양 형성이 확인됩니다.


복부 CT의 장점과 한계
장점
- 정확한 진단 능력: 엑스선이나 초음파로는 확인이 어려운 병변을 고해상도로 관찰할 수 있습니다.
- 빠른 검사 시간: 응급 환자나 외상 환자에게 즉시 시행 가능하며, 검사 시간이 5분 이내로 짧습니다.
- 조영제 사용으로 병변 대비 강화: 혈관과 장기를 구분해 종양이나 염증을 명확히 파악할 수 있습니다.
- 치료 및 수술 계획 수립에 유용: 수술 전 종양 위치, 혈관 구조를 미리 파악해 수술 전략을 세울 수 있습니다.
- 추적검사 가능: 치료 후 변화나 재발 여부를 객관적으로 비교할 수 있습니다.
한계
- 방사선 노출: 일반 엑스선보다 높은 방사선량이 사용되므로, 반복검사 시 누적 피폭 위험이 있습니다.
- 조영제 부작용: 신장 기능 저하, 요오드 알레르기, 갑상선 질환이 있는 경우 조심해야 합니다.
- 작은 병변의 감별 한계: 미세 종양이나 초기 염증은 영상 해상도로 인해 발견이 어렵습니다.
- 병변의 특이도 부족: 영상상 병변이 보여도 악성 여부를 확정하기 어려워 추가 검사(조직검사, MRI)가 필요할 수 있습니다.
- 비용 부담: 일반 초음파보다 검사비가 높고, 조영제 사용 시 추가 비용이 발생합니다.

복부 CT 검사 시 주의사항
- 검사 전 6시간 금식: 음식물이 위장 내에 있으면 영상이 왜곡될 수 있습니다.
- 수분 섭취 유지: 조영제 배출을 돕고 신장 부담을 줄입니다.
- 신장 기능 검사 필요: 크레아티닌 수치를 확인해 조영제 사용 가능 여부를 판단합니다.
- 금속 물질 제거: 벨트, 지퍼, 액세서리 등 금속은 영상에 인공 음영을 만들 수 있으므로 제거해야 합니다.
- 임신 시 주의: 방사선이 태아에 영향을 줄 수 있으므로, 임신 가능성이 있으면 반드시 의료진에게 알려야 합니다.



복부 CT가 필수적인 대표 상황
- 급성 복통의 원인 불명일 때
충수염, 담낭염, 췌장염, 장폐색 등 원인을 신속히 감별해야 할 때 CT는 필수입니다. - 암 진단 및 전이 평가 시
간암, 대장암, 췌장암, 신장암 등은 CT로 병기와 전이 여부를 확인합니다. - 외상성 복부 손상 의심 시
교통사고나 낙상 후 장기 파열, 내출혈 여부를 확인할 수 있습니다. - 혈관 질환 평가
복부 대동맥류나 혈관 폐색, 혈전 여부를 파악하는 데 필수적입니다. - 만성 복부 질환 경과 관찰
간경변, 크론병, 궤양성 대장염 등의 악화나 합병증 여부를 주기적으로 모니터링합니다.
결론



복부 CT는 복부 내부 장기를 한눈에 관찰할 수 있는 정밀 영상검사로, 염증, 종양, 혈관질환, 외상 등 다양한 질환을 조기에 진단할 수 있습니다. 위장관, 간·담도, 췌장, 신장, 혈관 등 거의 모든 복부 장기 이상을 찾아낼 수 있으며, 응급 상황에서도 빠른 판단을 가능하게 합니다. 다만 방사선 피폭과 조영제 부작용 등의 단점도 존재하므로, 필요성과 위험성을 의료진과 상의한 뒤 신중히 검사받는 것이 바람직합니다. 복부 CT 결과는 반드시 전문의의 판독을 통해 해석해야 하며, 다른 검사 결과와 임상 증상을 종합적으로 고려해야 정확한 진단이 가능합니다.



'생활정보 > 건강정보' 카테고리의 다른 글
| 오른쪽 옆구리 통증 의심되는병 (0) | 2025.12.22 |
|---|---|
| 헛개나무 열매 효능, 끓이는법 (0) | 2025.12.19 |
| 팔에 멍이 드는 이유, 피멍의 원인 (0) | 2025.11.26 |
| 단감과 상극 음식 속설 (0) | 2025.11.20 |
| 사양벌꿀 진짜벌꿀 차이 (0) | 2025.11.09 |